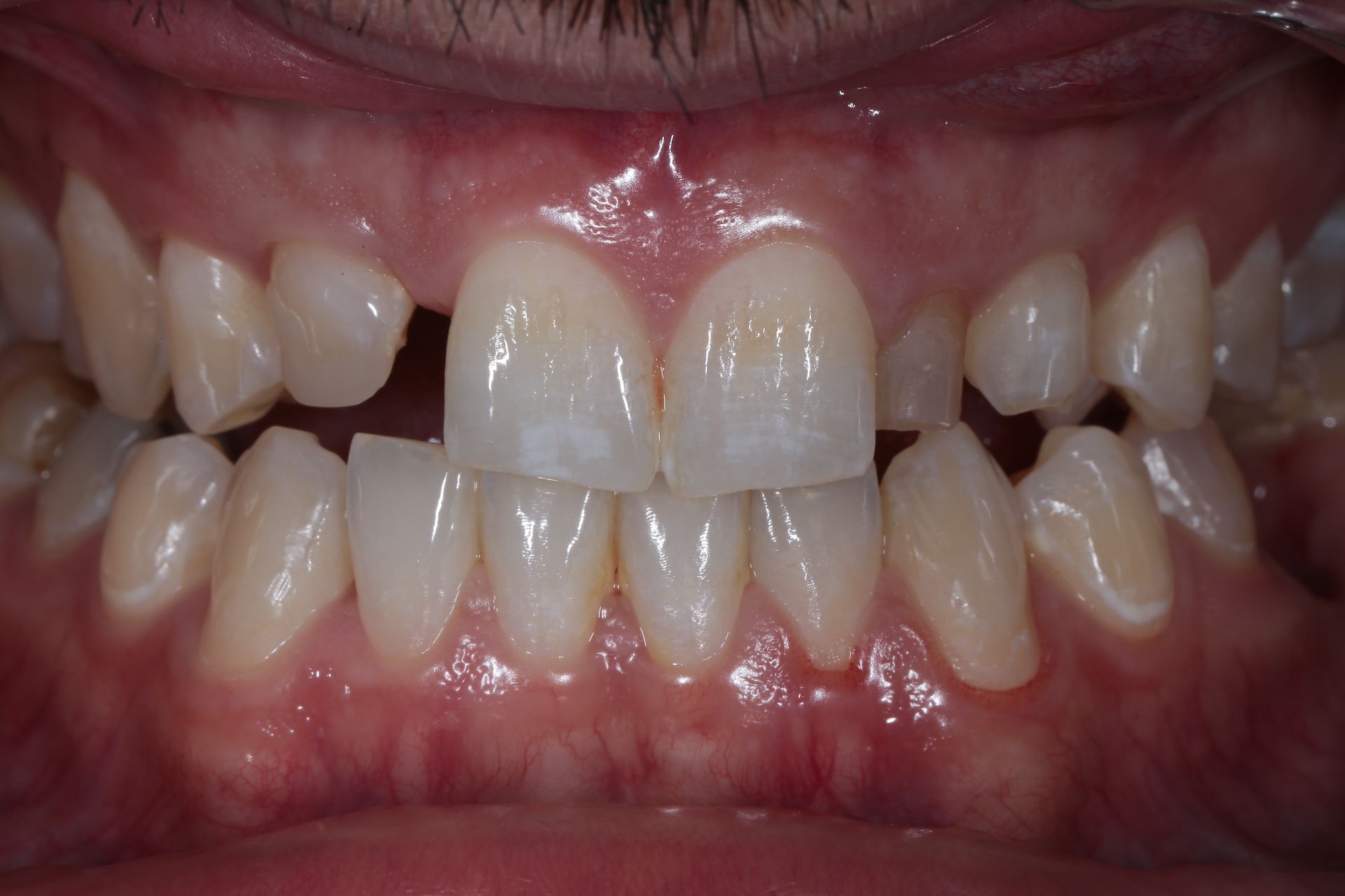
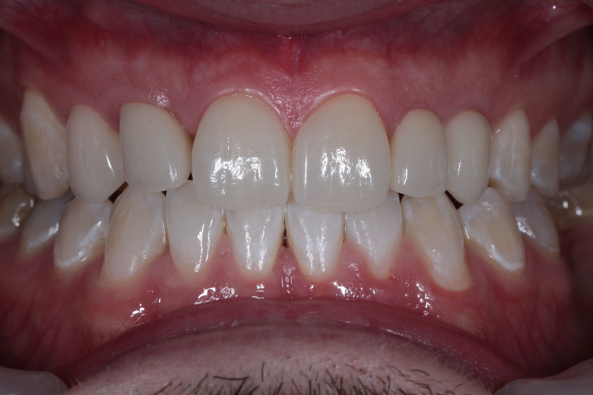
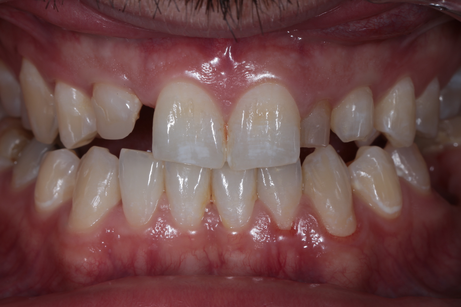
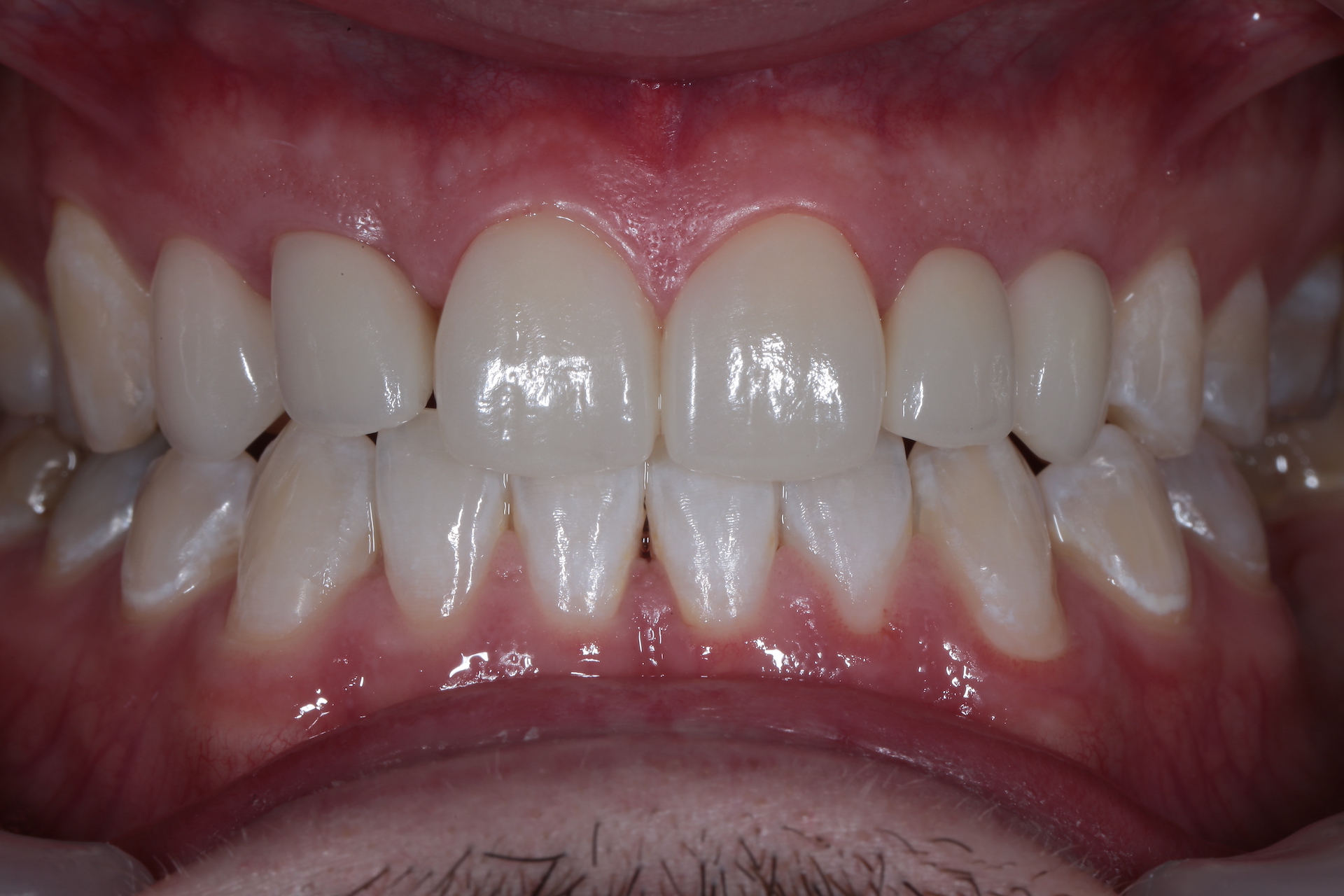
Die Optimierung Rot-Weißer-Ästhetik
Schon der griechische Philosoph und Mathematiker Pythagoras wusste: „Das Schönste ist Harmonie“. Auch heute besticht ein erster positiver optischer Eindruck durch Harmonie. Deshalb wünschen sich viele Patienten nicht nur gesunde und schöne Zähne, sondern die ästhetische Ausgewogenheit zwischen Zahnweiß und gesundem Zahnfleisch – und damit ein perfektes Lächeln.
In unserem B-Kurs „Red Aesthetics under your control“ behandeln wir die wichtigsten Aspekte der Rot-Weißen-Ästhetik. Die dabei vermittelten Bausteine werden systematisch zu einem Konzept zusammengebracht. Wir sprechen über minimalinvasive Behandlungsstrategien, mit denen Sie einfach und gezielt ein vorhersehbares Ergebnis für Ihre Patienten erreichen können.
In lockerer und dynamischer Atmosphäre erleben Sie einen Kurs von Praktikern für Praktiker. Das Motto lautet „What you see is what you can do“. Es werden nur Methoden vorgestellt, die Sie ohne großen Aufwand direkt in Ihrer Praxis anwenden können.

