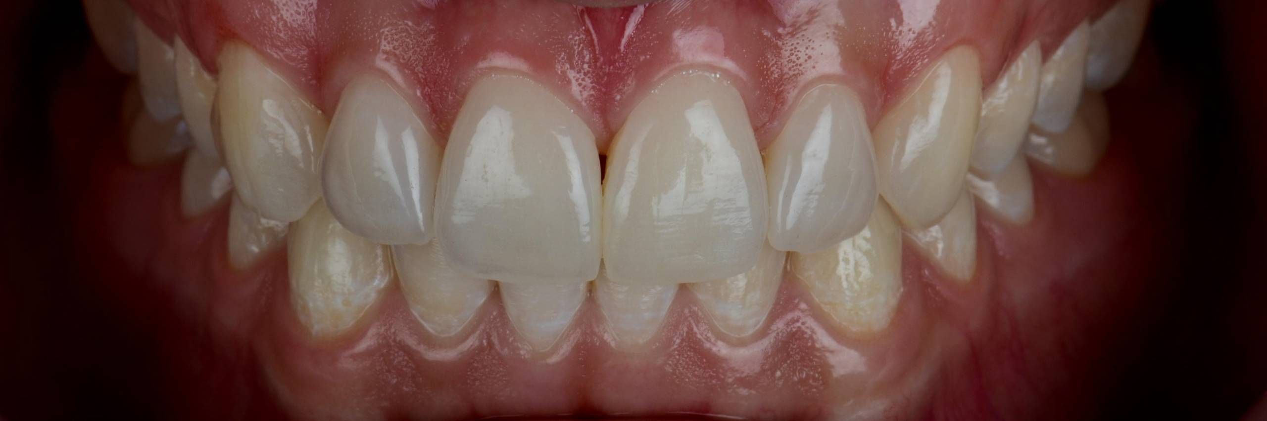
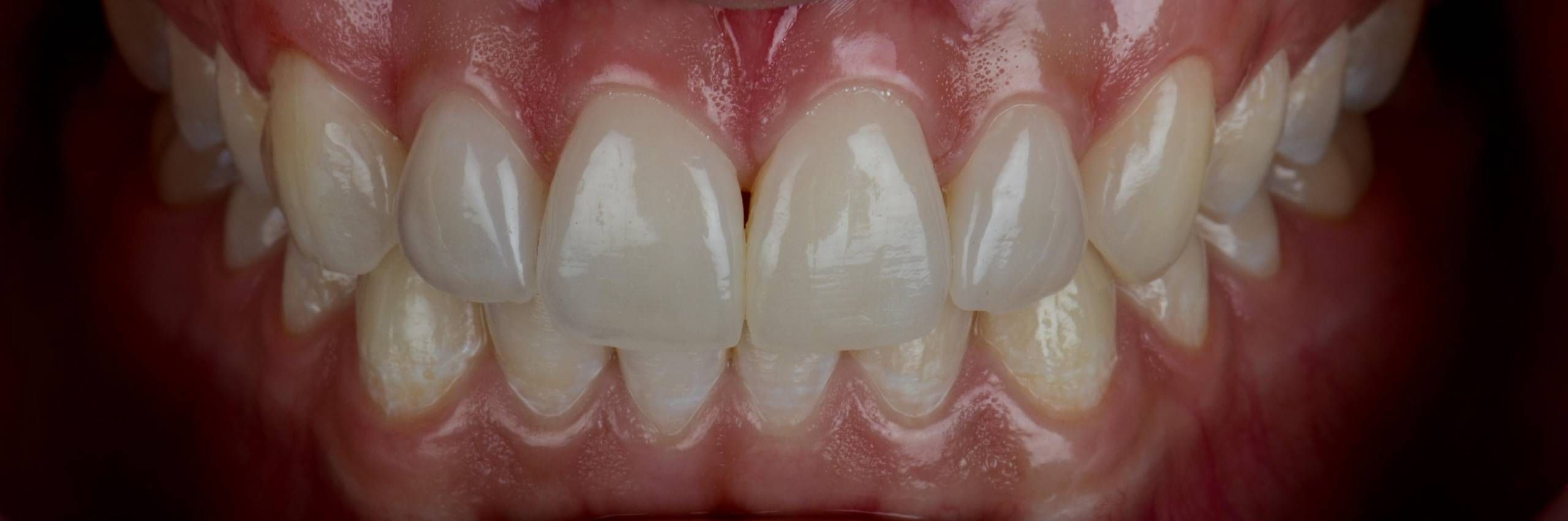
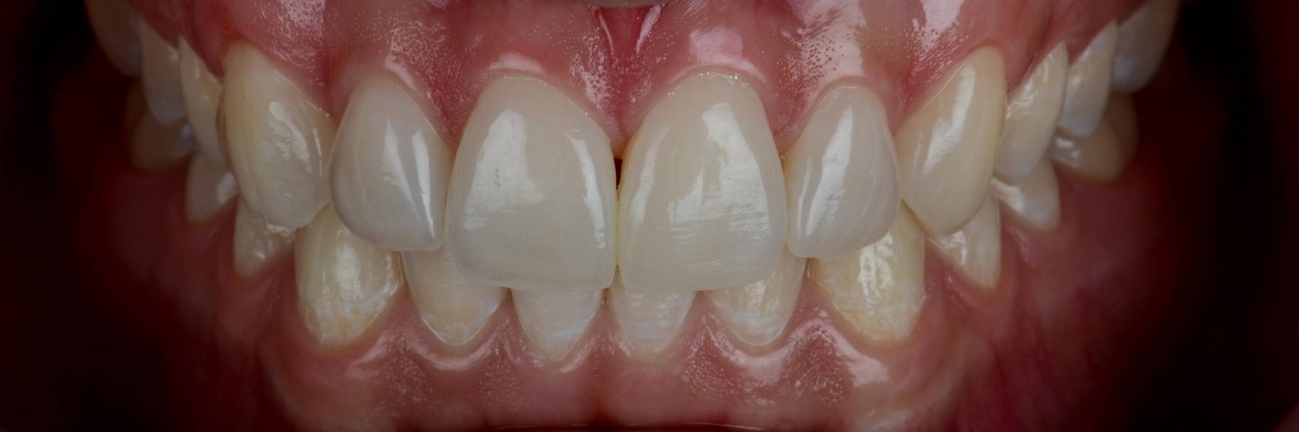
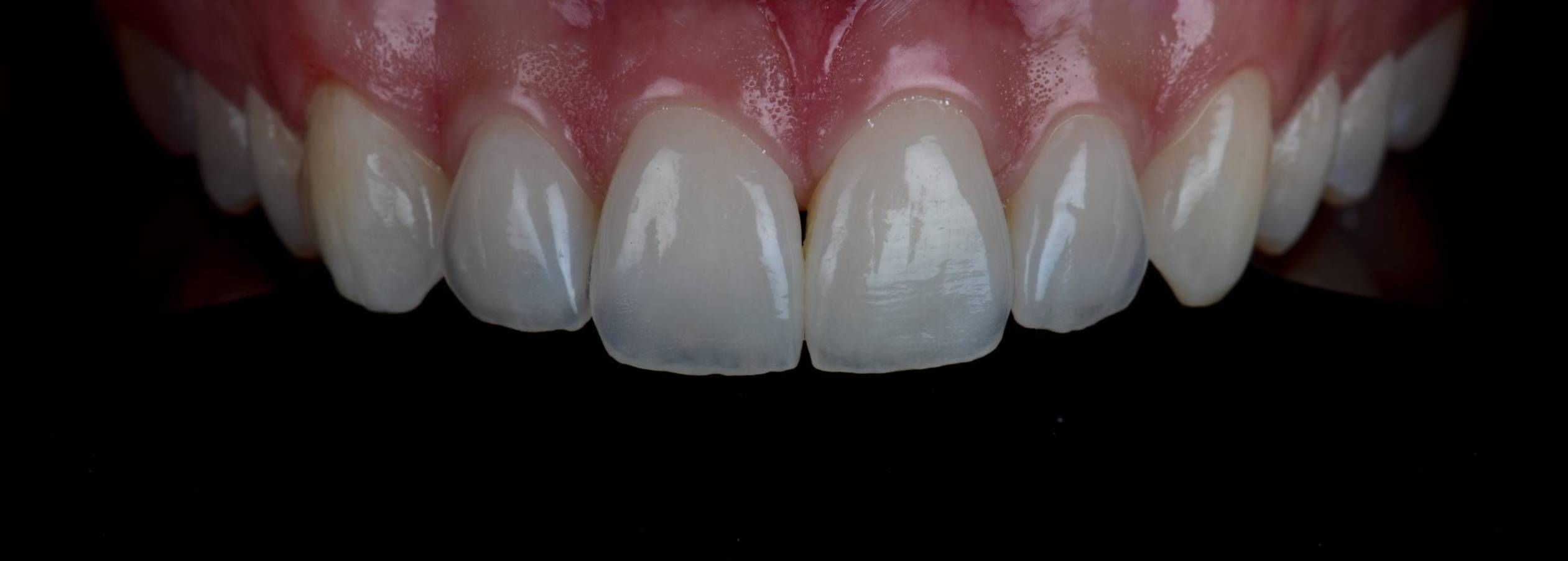
Die Perfektion der Ästhetik
Sie wollen Ihren Patienten perfekte ästhetische Ergebnisse schenken? Im Kurs „White Aesthetics under your control“ vermitteln wir Ihnen die Grundlagen unserer langjährigen Behandlungserfolge mit Bleaching, Composite und Vollkeramik.
In mehr als 20 Jahren Praxis haben wir bei der Materialauswahl und Methodik ein sicheres Konzept für alle Eventualitäten entwickelt. Kompetent und praxisnah stellen wir Ihnen Methoden vor, die Sie bereits morgen in Ihrer Praxis anwenden können. Unsere Tipps und Ideen werden anhand zahlreicher realistischer Patientenfälle kurzweilig demonstriert.

